68-годишен отива на лекар с болки в кръста и корема, вижте какво намерили лекарите
05
септември
2015
10:26
3 коментара
43884 прочита
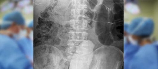
43884 прочитаЛекарите останали с отворени уста след странната находка в седалището на 68-годишен мъж, вибратор дълъг 23 сантиметра, бил проникнал много във вътрешността на мъжа и създавал предпоставки за тежкото състояние,пише италианския Тудей. Мъжът пенсиониран военен, търпял болките от декември миналата година. След оперативна интервенция, животът му е спасен.
Реклама

_(2)_136155.jpeg)
_136146.jpg)
_136143.jpg)


1
Нарушението, на която и да е точка от горните правила ще се смята за основание коментарът да бъде скрит. При системно нарушаване на правилата достъпът на потребителя ще бъде органичен.