Кървят ли ви венците? Една от причините е СМЪРТОНОСНА! Вижте 5-те най-чести проблеми
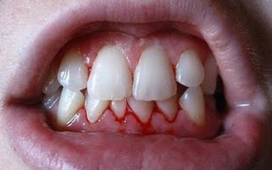
13415 прочитаКървящите венци са най-често пренебрегвания проблем в устната кухина.
Повечето хора се фокусират върху здравето на зъбите и премахването на кариесите, но неглижират здравето на венците.
Кървенето на венците не е безобидно и в повечето случаи е предизвикано от определени причини. Какви могат да са те?
Възпаление
Ако не четкате зъбите добре има голяма вероятност някъде да се задържи храна. Престоят на бактериите в устата за повече от 24 часа предизвиква възпаления, които не само карат венците да кървят, но и да се подуват и болят. Инфектираните венци са сериозна предпоставка за загуба на зъби.
Хормонален дисбаланс
Хормонални колебания от всякакъв характер могат да повлияят негативно върху здравето на венците. Това може да предизвика кървене, зачервяване, дразнене, болки и подуване във венците. Менопаузата, заболяванията на щитовидната жлеза, бременността, менструацията, пубертетът са все моменти, свързани с различни видове хормонален дисбаланс.
Стрес, безсъние, лоша диета
Стресът се отразява цялостно върху здравето на организма. Той не подминава и венците. Лошото хранене също е в състояние да съсипе венците и да ги накара да кървят при миене или отхапване на твърд плод, например ябълка. Липсата на сън и умората влияе върху здравето на костите и образуването на костно вещество. Това влияе пряко върху здравето на венците.
Лекарства
Някои медикаменти могат да предизвикат кървене на венците. Най-често това е провокирано от потискане секрецията на слюнка, какъвто страничен ефект имат някои лекарства. Това е предпоставка за размножаване на болестотворни бактерии, причиняващи инфекции на венците.
Заболявания
Някои заболявания се свързват с кървене на венците. Такъв симптом се наблюдава при диабет, левкемия, СПИН, понижен имунитет, автоимунни заболявания, анемия.
az-jenata.bg
1850
_(1)_136049.jpg)

_(2)_136053.jpg)


Нарушението, на която и да е точка от горните правила ще се смята за основание коментарът да бъде скрит. При системно нарушаване на правилата достъпът на потребителя ще бъде органичен.