Да спрем треперенето на ръцете с билки
13 ноември 2024 08:43
Треперенето на ръцете може да се появи при различни обстоятелства – от повишено ниво на стрес и натрупана умора до... » повече
0 коментара
4676 прочита
13 ноември 2024 08:43
0 коментара
4676 прочита
Есен и настинки: Това е позабравеният чай, който успокоява кашлицата и успокоява болното гърло
07 ноември 2024 07:13
Някои хора не се нуждаят от причина, за да пият чай, защото това е част от ежедневието им, особено през по-студеното време, но... » повече
0 коментара
7119 прочита
07 ноември 2024 07:13
0 коментара
7119 прочита
Целината намалява възпалението
04 ноември 2024 05:54
Целината, която Виктория Бекъм яде всяка сутрин, е изключително здравословна. Има само 10 калории на стрък, поради което... » повече
0 коментара
4122 прочита
04 ноември 2024 05:54
0 коментара
4122 прочита
Ново изследване: Консумацията на марихуана свива ключова част от мозъка и влияе негативно на когнитивните способности
01 ноември 2024 05:54
Употребата на марихуана сред млади юноши може да доведе до изтъняване на мозъчната кора, област от мозъка, която е критична за... » повече
1 коментар
3839 прочита
01 ноември 2024 05:54
1 коментар
3839 прочита
Рецепти при ечемик на клепачите
29 октомври 2024 07:53
• Една супена лъжица наситнени стръкове от копър се заливат с половин чаша вряща вода. Кисне 10 минути и се прецежда. Потапя... » повече
0 коментара
4262 прочита
29 октомври 2024 07:53
0 коментара
4262 прочита
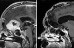
Хирург премахва голям мозъчен тумор през веждите
26 октомври 2024 07:20
Хирург, работещ в Шотландия, разработи начин за отстраняване на мозъчен тумор с размер на ябълка през веждата на пациент, което... » повече
0 коментара
5418 прочита
26 октомври 2024 07:20
0 коментара
5418 прочита
Може да бъде и опасно: В тези случаи ибупрофенът няма да ви помогне
25 октомври 2024 07:01
Въпреки че мнозина не могат да живеят без него, учените започват да осъзнават, че ибупрофенът може да не е най-доброто решение в... » повече
11 коментара
6449 прочита
25 октомври 2024 07:01
11 коментара
6449 прочита
Орехови листа облекчават подаграта
24 октомври 2024 07:28
Нови терапии регулират по-ефективно нивата на пикочната киселина в организма
Подаграта е едно от най-древните известни... » повече
0 коментара
5355 прочита
24 октомври 2024 07:28
0 коментара
5355 прочита
Лекарство за мигрена спира пристъпите, преди да започнат
24 октомври 2024 07:25
Пристъпите на мигрена могат да бъдат изтощителни и да направят ежедневните дейности невъзможни. Но какво би станало, ако... » повече
0 коментара
3290 прочита
24 октомври 2024 07:25
0 коментара
3290 прочита
Този мощен плод- полезен и незаслужено пренебрегван
24 октомври 2024 07:21
Мушмулите са сред най-полезните есенни плодове, които незаслужено се пренебрегват и често се подминават. Крайно време е... » повече
0 коментара
3150 прочита
24 октомври 2024 07:21
0 коментара
3150 прочита
Защо се образуват нови бенки и кои от тях са опасни
21 октомври 2024 07:33
Правилото ABCDE ни дава възможност сами да се ориентираме дали някоя бенка тревожно се разраства или пък става... » повече
0 коментара
3497 прочита
21 октомври 2024 07:33
0 коментара
3497 прочита
Ново проучване разкри невероятните способности на това бяло хапче при диабетици: Използваме го сравнително често и е супер евтино
21 октомври 2024 07:25
Редовният прием на аспирин намалява риска от развитие на рак на панкреаса с 40 процента при пациенти с диабет и с 20 процента в... » повече
0 коментара
3933 прочита
21 октомври 2024 07:25
0 коментара
3933 прочита

_(1)_136054.jpg)
_(1)_136039.jpg)
_136036.jpg)

