Фън шуй експерт: 2016 ще отключи масовите болести
06 април 2016 09:18
Около нас има сили и енергии, които могат да ни разболеят или да направят живота песен с богатство и просперитет. Как се постига всичко... » повече
1 коментар
7983 прочита
06 април 2016 09:18
1 коментар
7983 прочита
Чудодеен витамин спасил Стефан Данаилов от рака!?
06 април 2016 09:16
Трябва да вярваме повече на сънищата и идеите, които ни идват свише. В това е убеден Иван Добрев, бивш учител от варненското село Ягнило.... » повече
0 коментара
19364 прочита
06 април 2016 09:16
0 коментара
19364 прочита
Д-р Михайлов: Излекувах хиляди с тези 2 прости рецепти
06 април 2016 09:14
Известният лекар д-р Атанас Михайлов гарантира уникалния ефект при комбинация от два метода за засилване на имунната система и лечение... » повече
0 коментара
21060 прочита
06 април 2016 09:14
0 коментара
21060 прочита
Световъртежът сигнализира за много проблеми
05 април 2016 11:46
Едва ли има човек, на когото чувството на световъртеж да е непознато. То може да включва най-различни усещания - лека неустойчивост,... » повече
0 коментара
12875 прочита
05 април 2016 11:46
0 коментара
12875 прочита
Kак да тествате здравето на сърцето с този лесен японски трик
05 април 2016 09:23
Учените са открили един лесен начин, чрез който може да разберете дали вашето сърце функционира правилно. Методът се състои в докосване... » повече
0 коментара
9027 прочита
05 април 2016 09:23
0 коментара
9027 прочита
5-те убийци на мозъка! Няма да повярвате, но алкохолът и цигарите са само съучастници
04 април 2016 10:15
Доскоро се смяташе, че мозъчните клетки са краен брой и през живота само намаляват. Оказа се, че макар повечето неврони да се появяват... » повече
1 коментар
23252 прочита
04 април 2016 10:15
1 коментар
23252 прочита
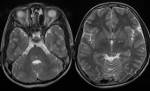
Български лекари откриха ново мозъчно заболяване
04 април 2016 09:49
Eкспертен екип от УМБАЛ Александровска в София откри рядко генетично заболяване, близко до болестта на Алцхаймер.
Проф. Лъчезар Трайков... » повече
1 коментар
10985 прочита
04 април 2016 09:49
1 коментар
10985 прочита
Всяка жена трябва да види това – ето това се случва с плодът, когато майката пуши (Видео)
04 април 2016 09:47
Всички сме виждали майки, които продължават да пушат по време на бременността си. Тъй като тревожната тенденция продължава, британски... » повече
0 коментара
11849 прочита
04 април 2016 09:47
0 коментара
11849 прочита
Ракът "умира от глад", когато ядете тези храни. Вижте как да се предпазите от коварната болест!
04 април 2016 09:46
Науката постоянно търси нови начини за справяне с бича на хилядолетието - раковите заболявания. Медицинският портал Doctiming.bg разкрива... » повече
0 коментара
28859 прочита
04 април 2016 09:46
0 коментара
28859 прочита
Внимание! Детски играчки удрят с ток и причиняват изгаряния
02 април 2016 09:37
За наличието на „шеговити” играчки, носещи риск от токов удар и изгаряне, предупреждава Комисията за защита на потребителите (КЗП).... » повече
0 коментара
7758 прочита
02 април 2016 09:37
0 коментара
7758 прочита
Откриха лечение на смъртоносната анорексия
02 април 2016 09:28
Това показват резултатите от ново изследване на Кингс колидж в Лондон.Около 4% от жените страдат от анорексия в някакъв момент от живота... » повече
0 коментара
10314 прочита
02 април 2016 09:28
0 коментара
10314 прочита
Ваксина отказва пушачите от тютюна!
02 април 2016 09:27
Учени разработват ваксина, която ще кара хората да не изпитват удоволствие от тютюнопушенето, съобщава списание Popular Science.
Екип от Scripps... » повече
0 коментара
7718 прочита
02 април 2016 09:27
0 коментара
7718 прочита

_136036.jpg)



1