Хирург премахва голям мозъчен тумор през веждите



Хирург, работещ в Шотландия, разработи начин за отстраняване на мозъчен тумор с размер на ябълка през веждата на пациент, което се смята за първата подобна процедура в света.
Адаптирана техника Неврохирургът Anastasios Jamouriadis от NHS Grampian Health Service е адаптирал съществуваща лапароскопска техника за отстраняване на тумори, която оставя значително по-малко белези от конвенционалната краниотомия.
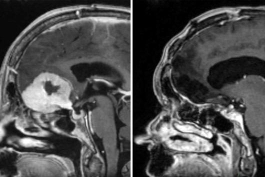
Промяната позволява на Джамурадис да отстрани много по-големи тумори от предната част на мозъка, отколкото преди, като някои от тях са с размерите на голяма ябълка.
Новият метод също отнема много по-малко време за прилагане, което означава, че оперативните екипи са по-малко уморени, когато процедурата най-накрая приключи.
Досега е извършена на 48 пациенти. Досега Джамурадис и неговият екип са извършили новата процедура на 48 пациенти, много от които са успели да напуснат болницата ден след процедурата.
„Модифицирах и развих техниката с моя екип и оперираме много големи мозъчни тумори в предната част на мозъка и чак до средата на мозъка“, обясни той. Това има значителен положителен ефект за пациента.
„При нормални, екстензивни карциноми продължителността на операцията обикновено е около осем часа и пациентите ще прекарат дни в болница. „Да се направи това чрез лапароскопски подход през веждата е технически по-трудно, но вероятно отнема половината от времето – ако не и по-малко“, каза той.
„Пациентът ще се прибере у дома на следващия ден и ще се върне към нормалния живот в повечето случаи в рамките на седмица или две“, каза той.
Нарушението, на която и да е точка от горните правила ще се смята за основание коментарът да бъде скрит. При системно нарушаване на правилата достъпът на потребителя ще бъде органичен.